Laser Treatment
Our office offers laser treatment for multiple benefits for our orthodontic patients. These laser procedures are covered under most dental insurances.
Bracket Placement
Removal of excess gum tissue to properly place the braces.

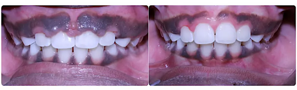
Gum Recontouring
Removal of excess gum tissue to achieve a less gummy smile and/or a more esthetic smile design.

Frenectomy
Removal of thick gum tissue that usually exists between the two upper front teeth which cause a space

Canine Impactions
Removal of tissue surrounding the impacted tooth to help bring it into the mouth and expedite the orthodontic treatment.




